Coksartosi - Hip-artikulazioaren artrosia da.
Pixkanaka garatzen da, hainbat urtez, progresiorako joera, biak bakarrekoak eta bikoitzak izan daitezke. Mugimenduak eta mugimenduen murrizketak egiten ditu artikulazioan. Geroagoko faseetan, hip giharren atrofia eta gorputz-adarra laburtzea ikusten da. Diagnostikoa sintoma klinikoen eta erradiografiaren emaitzetan oinarritzen da. Coxartrosiaren hasierako faseetan, tratamendu kontserbadorea. Artikulua suntsitzearekin batera, batez ere gazte eta ertaineko pazienteetan, kirurgia (endoprotikoa) adierazten da.
Informazio orokorra
Koksartrosia (osteoartrosi edo hip-artikulazioaren artrosia deformatzea) gaixotasun endekapen-disstrofikoa da. Normalean 40 urte eta gehiagoko adinean garatzen da. Hainbat lesio eta elkarrekin gaixotasunen emaitza izan daiteke. Batzuetan itxurazko arrazoirik ez da gertatzen. Coksartrossi pixkanaka progresiboa den ikastaroa da. Hasierako faseetan, tratamendu metodo kontserbadoreak erabiltzen dira. Geroagoko faseetan, funtzio bateratua funtzionamendua soilik izan daiteke.
Ortopedian eta traumatologian, koxartrosia artrosia ohikoenetakoa da. Bere garapenaren maiztasun altua hip-artikulazioan karga esanguratsua da eta patologia sortzetikoaren prebalentzia hedatua - displasia bateratua. Emakumeek coksartrosia gizonezkoek baino maizago izaten dute.
Koksartrosiaren kausak
Lehenengoa (arrazoi ezezagunengatik) eta bigarren mailako (beste gaixotasun batzuen ondorioz garatua), hip artikulazioaren artrosia bereizten da.
Bigarren mailako Koksartrosia honako gaixotasunen emaitza izan daiteke:
- Hip elkarrekin displasia.
- Izterraren deslokalazioa.
- Pertseko gaixotasunak.
- Izterreko burua nekrosi aseptikoa.
- Lesio infekziosoak eta hanturazko prozesuak (adibidez, hip artikulazioaren artritisa).
- Lesioak (dislokazio traumatikoak, hip lepoko hausturak, pelbiseko hausturak).
Koksartrosia bakarreko edo bikoitza izan daiteke. Coxartrosi primarioarekin, bizkarrezurraren (osteocomondrosia) eta belauntriturako (gonartosi) lesio konkurtsoa (gonartosi) maiz antzematen da.
Arrisku faktoreak
Koxartrosia garatzeko probabilitatea areagotzen duten faktoreen artean daude:
- Etengabe karga handiagoa da artikulazioan. Gehienetan kirolariengan ikusitako gorputzaren gehiegizko pisua duten pertsonetan.
- Zirkulazio nahasteak, hormona-aldaketak, nahaste metabolikoak.
- Bizkarrezurraren patologia (kifosia, eskuzuloa) edo geldialdia (oinak lauak).
- Adineko eta senile adina.
- Bizimodu sedentarioa.
Koksartrosia bera ez da heredatzen. Hala ere, zenbait ezaugarri (nahaste metabolikoak, hezurdura egiturazko ezaugarriak eta kartilagoaren ahultasuna) haurrek heredatu ahal izango dituzte gurasoek. Hori dela eta, koxartrosia duten odol senideen aurrean, gaixotasuna agertzeko probabilitatea apur bat handitzen da.
Patanatomia
Hip-artikulazioa bi hezurrek osatzen dute: ileoa eta femorala. Izterretako burua Iliako hezurraren azetabulumarekin artikulatzen da, "bisagra" bitxi bat osatuz. Mugimendu garaietan, azetabulumak geldirik geratzen dira eta femoral burua hainbat norabidetan mugitzen da, flexioa, luzapena, bahiketa, ekartzea eta birakariak aldatzen ditu.
Mugimenduetan, hezurrezko gainazal artikuluek bata bestearen arabera lerroren bat egin zuten. Gainera, Hyaline Cartilage-k shock bat egiten du -bsorbing funtzioa eta karga birbanatzeko inplikatuta dago mugimenduan eta oinez.
Barrunbe bateratuan juntadura-fluido kopuru txikia dago, lubrifikazioaren papera betetzen duena eta hyaline kartilagoaren elikadura eskaintzen duena. Batera kapsula trinko eta sendo batez inguratuta dago. Kapsularen gainetik muskulu femoral eta gluteal handiak dira, artikulazioan mugimenduak ematen dituztenak eta, Hyalin kartilagoarekin batera, kolpe xurgatzaileak ere badituzte kolpeak ez diren mugimenduak babesten dituzten mugimenduekin.
Koxartrosiarekin, artikulazio likidoa lodiagoa eta likatsuagoa bihurtzen da. Hyaline kartilagoaren azalerak lehortzen da, leuntasuna galtzen du, pitzadurak estalita. Jaiki den zimurtasuna dela eta, mugimenduetan kartilagoa etengabe zauritzen da elkarren inguruan, eta horrek elkarrekin aldatu eta gero eta aldaketa patologikoak eragiten ditu. Coxartrosia aurrera egin ahala, hezurrak deformatzen hasten dira, "egokitzea" presioa areagotzeko. Artikulazioan metabolismoa hondatzen da. Coxartrosi geroko etapetan, gorputz minaren muskuluen atrofia larria ikusten da.
Koxartrosiaren sintomak
Gaixotasunaren sintoma nagusiak mina, eskualde inguinala, izterretik eta belauneko artikulazioan mina da. Halaber, soka-zurruntasuna, mugimenduaren zurruntasuna eta junturaren zurruntasunarekin, porturismoaren asaldura, izugarrizko hipotesia, hip muskuluen atrofia eta lesioaren alboko gorputzaren laburra laburtzea da. Coksartrosiaren ezaugarri bereizgarria bahiketa murriztea da (adibidez, gaixoa zaila da aulki batean eseri nahian saiatzean). Zeinu jakin batzuen presentzia eta haien larritasuna koxartrosiaren fasearen araberakoa da. Lehenengo sintoma eta konstanteena mina da.
-An 1. graduko coksartrosia Gaixoek aldizkako mina kexatzen dute, jarduera fisikoaren ondoren gertatzen dena (korrika edo oinez luzatu ondoren). Mina artikulazioan kokatzen da, askotan izterretik edo belaunean. Atseden hartu ondoren, normalean desagertzen da. 1. graduaren koxartrosia ez da apurtzen, mugimenduak osorik kontserbatzen dira, ez dago giharrik atrofikan.
X. mailako koxartrosia duen pazientearen gainean, aldaketa epelak dira, aldaketa arinak: aldakorreko aldea estutzen da, baita azetabuloaren kanpoko edo barneko ertzaren inguruan hezur hazkuntzak, femurraren burutik eta lepotik aldaketarik ezean.
-An COKSARTROSIS 2 graduko Mina biziagoa bihurtzen da, maiz agertzen da atsedenean, izterretik irradiatzen da. Jarduera fisiko esanguratsua egin ondoren, coksartrosia duen gaixoa zurrumurru egiten hasten da. Bateratze-mugimenduen bolumena gutxitzen da: izterraren bahiketaren eta barneko biraketa mugatua da.
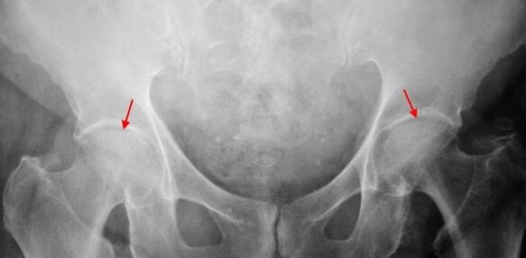
X -2 mailan irudiak 2. graduko koxartrosia da, bateriaren hutsunea murriztea (altuera normaletik erdia baino gehiago) zehazten da. Buru femorala gorantz desplazatu da, deformatua eta tamaina handitzen da, eta bere sestrak irregularrak dira. Coxartrosia maila honekin hezur-hazkuntzak barnealdean ez ezik, azetabuloaren kanpoko ertzean ere agertzen dira eta kartilagotik kanpora joaten dira.
-An COKSARTROSIS 3 graduko Mina konstante bihurtzen da, egunean zehar ez ezik gaixoen kezkak, baina gauez ere. Oinez zaila da, mugitzen denean, coksartrosia duen gaixo bat kanabera bat erabiltzera behartzen da. Artikulazioaren mugimenduen bolumena nabarmen mugatua da, ipurmasaileko muskuluak, aldakak eta beheko hankak atrofiatuak dira. Izterraren muskuluen ahultasuna aurrealdeko planoan pelbisaren desbideratzearen kausa bihurtzen da eta gorputzaren ertzean laburra laburtu du. Laburpena konpentsatzeko, paziente batek paseatzerakoan, oinez egitean, gorputza norabiderantz okertzen du. Hori dela eta, grabitate-erdigunea aldatzen da, juntaduraren karga nabarmen handitzen da.
3. graduko koxartrosiaren erradiografietan, biztanleen arteko lotura zorrotza, izterreko burua eta hezur hazkunde anitz hautematen dira.
Diagnostikoak
Koxartrosiaren diagnostikoa ikasketa osagarrien seinale eta datu klinikoetan oinarritzen da, hau da, erradiografia da. Kasu askotan, X -Rays-ek koxartrosiaren maila ez ezartzea ahalbidetzen du, baita gertakarien kausa ere. Beraz, adibidez, lepoko angeluaren angelu-dihipsealaren gehikuntzak, azetabuloaren eszenak eta berdinketa displasia adierazten dute eta femurraren zati hurbilaren formaren aldaketak adierazi dira COKSartrosia Pertseko gaixotasunaren edo gazteen epifisiosiolisiaren ondorioa dela. Koxartrosia duten gaixoen erradiografietan, aldaketak ere detektatu daitezke lesioak adieraziz.
Coxartrosia, CT eta MRI diagnostiko instrumentala egiteko metodo gisa erabil daitezke. Tomografi konputatuak xehetasunak zehatz-mehatz xehetasunetan aldaketa patologikoak aztertzeko aukera ematen du hezur egiturak zehatz-mehatz eta erresonantzia magnetikoen irudiak ehun bigunen bidez nahasteak ebaluatzeko aukera eskaintzen du.

Diagnostiko diferentziala
Lehenik eta behin, koxartrosia bereizten da gonartrosi (belauneko artikulazioaren artrosia) eta bizkarrezurraren osteochondrosia. Muskuluen atrofiak, 2 eta 3 kukartroaren faseetan gertatzen direnak, mina sor dezake belauneko artikulazioan, eta horrek askotan kalteak kaltetzeko mina baino distiratsuagoak dira. Hori dela eta, pazientearen belauneko minaren inguruko kexak, kliniko (ikuskapena, palpazioa, mugimendu bolumenaren determinazioa) hip junturaren azterketa da, eta koxborrosia susmatzen bada, gaixoa erradiografira zuzentzeko.
Sindrome erradikularrarentzako mina (nerbio sustraien konpresioa) osteokondrosiarentzat eta bizkarrezurraren beste gaixotasun batzuek mina imitatu dezakete koxartrosia. Koksartrosi ez bezala, mina bat-batean gertatzen da, mugimendu arrakastatsua izan ondoren, txanda zorrotza egin ondoren, pisuak altxatzea, etab. Tentsio sintoma positiboa hautematen da - mina larria gaixoak gorputz zuzen bat altxatzen saiatzen denean, bizkarrean etzanda. Aldi berean, gaixoak libreki hanka hartzen du, coksartrosia duten pazienteetan, bahiketa mugatua da. Kontuan izan behar da osteokondrosia eta coksartrosia aldi berean ikus daitekeela, beraz, kasu guztietan, pazientearen azterketa sakona beharrezkoa dela.
Gainera, Cokesartrosi Trochanteritis (Boot Bursite) bereizten da - glutealeko muskuluen eranskinean hantura asepikoa. Coxartrosi ez bezala, gaixotasuna azkar garatzen da, 1-2 asteren buruan, normalean lesio baten ondoren edo jarduera fisiko esanguratsua izan ondoren. Mina intentsitatea coksartrosiarekin baino handiagoa da. Ez dira gorputzaren mugimenduen mugak eta laburtu.
Zenbait kasutan, gaixotasunaren edo artritis erreaktiboaren bide atipikoarekin, koxartrosiaren antzeko sintomak ikus daitezke. Koxartrosia ez bezala, gaixotasun horiekin, minaren gailurra gauez erortzen da. Mina sindromea oso bizia da, oinez egitean gutxitu daiteke. Goizeko zurruntasuna ezaugarria da, esnatu eta gero apurka-apurka ordu batzuen buruan desagertzen dena.
Koxartrosiaren tratamendua
Patologiaren tratamendua ortopedista traumatologoetan aritzen da. Tratamendu metodoak aukeratzea gaixotasunaren sintomak eta etapa dira. 1 eta 2 kukartroaren faseetan, terapia kontserbadorea egiten da. Koxartrosia, injekzio blokeak, injekzio blokeak, antisoidatzak ez diren anti-flammammatorioak (piroxeak, indometaka, diclofenac, ibuprofenoa ...) erabiltzen dira. Kontuan izan behar da talde honen drogak ez direla denbora luzez gomendatzen, barneko organoetan eragin negatiboa izan dezaketelako eta Hyalin Cartilage berreskuratzeko gaitasuna ezabatzea.
COKSartrosisarentzako kaltetutako kartilagoa leheneratzeko, kondroprotektore talde bateko funtsak (kondroitina sulfatoa, kartilagoen laburpena, etab.) Erabiltzen dira. Odol zirkulazioa hobetzeko eta ontzi txikien espasmoa ezabatzeko, droga basatilatzaileak (Zinnariisina, nikotina azidoa, pentoxilina, xantinol nikotinatua) aginduta daude. Zantzuen arabera, gihar erlaxatzaileak erabiltzen dira (gihar erlaxazio drogak).
Stubborn Mina sindromea izanik, Coksartrosia duten gaixoek injekzio barneko injekzioak agindutakoak izan daitezke, droga hormonalak erabiliz (hidrokortisona, triamcinolona, metrumor). Esteroideekin tratamendua kontu handiz egin behar da. Gainera, koxartrosiarekin, tokiko produktuak erabiltzen dira. Hala ere, efektu terapeutiko esanik ez duten ukenduak berotzeko pomadak, hala ere, gihar espasmoa arintzen dute eta mina murrizten dute ekintza "distraitu" dela eta. Gainera, koxartrosia, prozedura fisioterapeutikoak agindutakoak (ultrasoinu terapia, laser tratamendua, uhf, inductotermia, magnetoterapia), masajea, eskuzko terapia eta gimnasia terapeutikoa dira.
Kokintrosiarako dieta ez du eragin terapeutiko independentea eta pisua murrizteko bitarteko gisa erabiltzen da. Gorputzaren pisua murrizteak hip artikulazioetan karga murrizteko aukera ematen du eta, ondorioz, coksartrossis ikastaroa erraztea. Artikuluan karga murrizteko, medikuak, koxartrosiaren arabera, kanabera batekin edo makuluekin ibiltzea gomendatu dezake.
Geroagoko etapetan (3. graduaren koxartrosia), tratamendu metodo eraginkor bakarra funtzionamendua da. Lesioaren izaeraren arabera, bai -pole bakarrekoa (izterraren burua bakarrik) edo bi -pole (izterreko burua eta barrunbe birakaria ordezkatuz) erabil daiteke.
Koxartrosia endoprostetikaren funtzionamendua aurreikusitako moduan egiten da, azterketa osoa egin ondoren, anestesia orokorraren azpian. Garai bateko operazioan, antibiotiko terapia egiten da. Josturak 10-12 egunetan kentzen dira, eta horien ondoren gaixoak anbulatorioetarako aginduta daude. Endoprostetikaren ondoren, errehabilitazio neurriak nahitaez mantentzen dira.
Kasuen% 95ean, esku-hartze kirurgikoak koxartrosia duen artikulazioa ordezkatzeko, gorputz-funtzioaren eraberritze osoa bermatzen du. Gaixoek funtziona dezakete, aktiboki mugitu eta baita kirolean ere. Protesiaren batez besteko zerbitzua, gomendio guztien menpe dagoena, 15-20 urte ditu. Horren ostean, bigarren operazio bat behar da higatutako endoprostesia ordezkatzeko.


























